A vibrant and healthy smile can do wonders to boost confidence. However, dental issues can often wreak havoc with our smiles, rendering dental crown London essential in maintaining our own radiant and healthy smiles. Let’s dive deeper into dental crown services as an effective solution and find out more about their role in keeping smiles radiant and vibrant!
Dental Crowns: An Overview
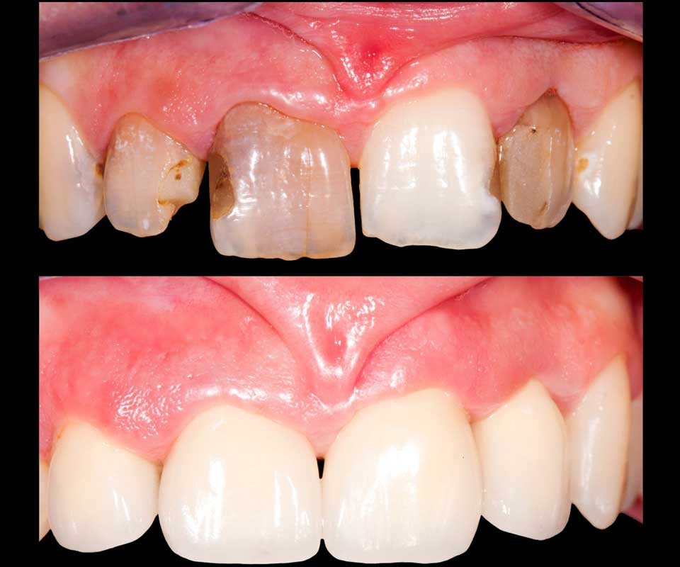
Dental crowns (commonly referred to as caps) are customized covers designed specifically to cover damaged, decayed, or otherwise compromised teeth. Dental crowns serve both aesthetic and functional purposes by restoring its shape, strength, and appearance – often recommended by dentists when needed for protecting weaker ones, covering an implant site, or supporting bridgework.
Why Dental Crowns Matter: Restoring Tooth Structure: Dental crowns are intended to replicate the natural form and appearance of teeth while acting as protective layers against further decay while simultaneously restoring them back to their original shapes.
Enhance Aesthetics: Damaged or discolored teeth often result in aesthetic concerns; porcelain crowns provide the solution with their ability to color-match existing teeth to ensure an unblemished, seamless aesthetics.
Durability and Longevity: dental crown London is made with long-term solutions in mind by being created from durable materials like porcelain, ceramic, and metal alloys – giving long-term relief from dental issues.
Locating Dental Crown Services in London
London offers an abundance of dental crown services tailored to its residents’ diverse needs, making a quick search of “dental crowns near me” yield an abundance of options ranging from established dental clinics and specialists alike.
Professional Dental Clinics in London: London boasts numerous reputable dental clinics that provide comprehensive crown services, with expert dentists and state-of-the-art facilities, to guarantee top quality patient care.
Specialized Practitioners: London offers numerous dental practitioners who specialize exclusively in restorative dentistry – specifically dental crowns – offering clients tailored solutions for any potential dental concerns they might face. These professionals bring vast amounts of experience when providing solutions tailored specifically to them.
Before selecting a dental crown service, it is wise to carefully read patient reviews and testimonials in order to get an insight into other people’s experiences and make an informed choice.

Procedure of Dental Crown Installation
Acquiring a dental crown London often entails several steps, in order to provide the optimal solution and ensure proper fit and functionality.
Your journey starts off with an appointment where a dentist examines your affected tooth, discusses treatment options available to them and if dental crown is the most suitable solution for them.
In order to guarantee an exact fit between crown and tooth, a portion may need to be extracted before impressions can be taken and used as models for creating customized dental crowns.
Temporary Crown Placement: While waiting for the permanent crown to be created, oftentimes a temporary one will be fitted on to protect and stabilize the prepared tooth until then.
Impressions taken are sent to a dental laboratory where skilled technicians craft custom crowns according to each patient’s individual needs and preferences. The material chosen depends upon these.
Placement of Permanent Crown: When the permanent crown has been manufactured and assembled, its temporary counterpart should be removed before bonding it in place over the prepared tooth.
Dental Crowns Near Me
Searches for “dental crowns near me” demonstrate the significance of convenience and access in dental care, particularly London’s diverse neighborhoods that provide options that enable individuals to gain access to crown services without extensive travel time.
Life can be unpredictable and dental emergencies may strike at any moment – from unexpected toothaches to unexpected injuries. When these crises strike, emergency dentists in London become invaluable: these professionals specialize in offering immediate dental care when urgent problems cannot wait for regular appointments; from severe toothache, knocked-out tooth or broken crown, emergency dentists specialize in handling immediate care needs quickly.
Accessibility and Experience
Emergency dental crown London play a vital role in London, offering prompt and efficient dental care when necessary. Conveniently situated throughout the city’s neighborhoods for easy accessibility by residents in different communities. Accessibility ensures individuals don’t endure prolonged discomfort before seeking relief for their dental ailments at once.
Locating dental crown services near you is crucial in quickly responding to dental problems. Crowns are custom-made caps designed to fit over damaged teeth and restore their strength, shape, and functionality – they’re made out of various materials like porcelain, metal and ceramic to guarantee long lasting durability while keeping their natural aesthetic appearance.
Dental crown services involve an array of procedures designed to preserve and improve oral health, from initial consultation through placement of crown. Each step in this process is tailored specifically for an individual based on his/her unique requirements; emergency situations, such as broken crowns requiring immediate care to avoid further damage and alleviate discomfort should always receive prompt consideration.
Conclusion
In London’s bustling capital city, dental crown London play an invaluable role in rejuvenating smiles and improving oral health. No matter whether it be for cosmetic reasons or to address dental problems, Londoners can find exactly the solution they require from among a comprehensive array of services available – individuals can learn the advantages and explore available options of crowns to take steps toward attaining radiant and healthy smiles!

